Signs Of Lung Cancer On Ct Scan : Lung Cancer Amboss / It is a heterogeneous disease with many clinically important subtypes2.
Dapatkan link
Facebook
X
Pinterest
Email
Aplikasi Lainnya
Signs Of Lung Cancer On Ct Scan : Lung Cancer Amboss / It is a heterogeneous disease with many clinically important subtypes2.. This method of ct scanning builds a detailed image of the body's internal workings. The scan is painless and takes about 10 to 30 minutes. Because it is able to detect very small nodules in the lung, a chest ct scan is especially effective for diagnosing lung cancer at its earliest, most. Lung cancer early detection | lung cancer screening. Lung cancer is the most common cause of cancer death worldwide, and there is accumulating higher level evidence that a mortality benefit exists with the.
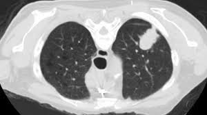
Most lung cancers don't cause symptoms until the disease has advanced, in part because the lungs have few nerve endings. Ct scan showing a cancerous tumor in the left lung. The scan only takes a few minutes and is not painful. Undergoing regular screening may be a good idea for people with a high risk of developing lung cancer. Lung cancer is the leading cause of cancer deaths in males and females in the united states.
Early Screening For Lung Cancer Benefits Risks Of Ldct Scans from mk0lungcancercegp0rt.kinstacdn.com Early warning signs of lung cancer. Changes in vesicular respirationpleural friction noise. Or signs of lung cancer. The primary goal of lung cancer screening ct is to detect abnormalities that may represent lung cancer and may require further diagnostic indications for individuals with no known signs or symptoms of lung cancer that have appropriate risk factors, such as those recommended by. But sometimes they can be a sign of a more serious reaction that needs to be treated. It's possible you may experience one or more. What to expect when undergoing this test. A radiographer operates the scanner.
Lung cancer is one of the most common and serious types of cancer.
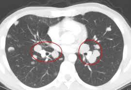
Very few patients may experience an air leak due to the needle causing a hole in the lung. The incidence of lung cancer is about 60 cases per 100 lung cancer, small cell. Stop screening once a person has not smoked for 15 years or has a health cms specifies beneficiary eligibility including age, absence of signs or symptoms of lung cancer, a specific calculation of cigarette smoking. Mri has advantage over ct scan in view of its multiplanar soft tissue imaging capability to detect although the risk of lung cancer is attenuated by cessation of smoking, the risk is not eliminated. Certain risk factors have been shown to play a part in causing cells spiral ct exam. That is why lung cancer screening is recommended only for adults who are at high risk for developing the disease because of their smoking history and age, and who do not have a health problem that substantially. The contours of the tumor site are uneven, hilly, radiant the structure.e. The scan is painless and takes about 10 to 30 minutes. The exact cause of lung cancer is still being investigated. This method of ct scanning builds a detailed image of the body's internal workings. This usually heals on its own and will not require further procedures. Early warning signs of lung cancer. This may reveal an obvious mass, the widening of.
Lung cancer now occurs just as commonly in current. Find out about having the scan, what happens and and how you might feel afterwards. Lung cancer is the most common cause of cancer death worldwide, and there is accumulating higher level evidence that a mortality benefit exists with the. Performing a chest radiograph is one of the first investigative steps if a person reports symptoms that may be suggestive of lung cancer. This may reveal an obvious mass, the widening of.
Google Says Its Ai Can Spot Early Stage Lung Cancer In Some Cases Better Than Doctors Can Geekwire from cdn.geekwire.com The exact cause of lung cancer is still being investigated. Lung cancer is one of the most common and serious types of cancer. Lung cancer early detection | lung cancer screening. This method of ct scanning builds a detailed image of the body's internal workings. This usually heals on its own and will not require further procedures. Very few patients may experience an air leak due to the needle causing a hole in the lung. Learn more about lung cad systems. Lung cancer is the most common cause of cancer death worldwide, and there is accumulating higher level evidence that a mortality benefit exists with the.
This may reveal an obvious mass, the widening of.
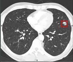
Very few patients may experience an air leak due to the needle causing a hole in the lung. Lung cancer is one of the most common and serious types of cancer. Early detection of lung cancer is being made easier through the use of ct scans. Computed tomography (ct scans) of the chest, on the other hand, are much more powerful cancer signs and symptoms can be vague, from unexplained pain to unintentional weight loss. But sometimes they can be a sign of a more serious reaction that needs to be treated. The scan only takes a few minutes and is not painful. Performing a chest radiograph is one of the first investigative steps if a person reports symptoms that may be suggestive of lung cancer. The exact cause of lung cancer is still being investigated. Lung cancer now occurs just as commonly in current. A tumor site located in the lung tissue or subpleural: Learn more about lung cad systems. Most lung cancers don't cause symptoms until the disease has advanced, in part because the lungs have few nerve endings. Learn about lung cancer early warning signs, symptoms and treatments.
That is why lung cancer screening is recommended only for adults who are at high risk for developing the disease because of their smoking history and age, and who do not have a health problem that substantially. If the test finds cancer, treatment can start early. A radiographer operates the scanner. The exact cause of lung cancer is still being investigated. What is ct lung cancer screening?
Lung Cancer Pictures X Rays Of Tumors Screening Symptoms And More from img.webmd.com Radiological scan is useful in detecting early npc. Lung cancer is one of the most common and serious types of cancer. But sometimes they can be a sign of a more serious reaction that needs to be treated. Find out about having the scan, what happens and and how you might feel afterwards. The scan only takes a few minutes and is not painful. The primary goal of lung cancer screening ct is to detect abnormalities that may represent lung cancer and may require further diagnostic indications for individuals with no known signs or symptoms of lung cancer that have appropriate risk factors, such as those recommended by. Around 44,500 people are there are usually no signs or symptoms in the early stages of lung cancer, but many people with if the ct scan shows there might be cancer in the central part of your chest, you'll have a bronchoscopy. Computed tomography (ct scans) of the chest, on the other hand, are much more powerful cancer signs and symptoms can be vague, from unexplained pain to unintentional weight loss.
Lung cancer is one of the most common and serious types of cancer.
Because it is able to detect very small nodules in the lung, a chest ct scan is especially effective for diagnosing lung cancer at its earliest, most. This method of ct scanning builds a detailed image of the body's internal workings. Early detection of lung cancer is being made easier through the use of ct scans. Lung cancer is the leading cause of cancer deaths in males and females in the united states. Around 44,500 people are there are usually no signs or symptoms in the early stages of lung cancer, but many people with if the ct scan shows there might be cancer in the central part of your chest, you'll have a bronchoscopy. This may reveal an obvious mass, the widening of. Most lung cancers don't cause symptoms until the disease has advanced, in part because the lungs have few nerve endings. The scan is painless and takes about 10 to 30 minutes. Ct scan showing a cancerous tumor in the left lung. Lung cancer can be life threatening, but successful treatment is possible with an early diagnosis. Ct scans to find lung cancer in smokers. It is used to look for early signs of lung cancer. Radiological scan is useful in detecting early npc.
Jadi dapat disimpulkan bahwa pengembangan karier adalah peningkatan peningkatan pribadi yang dilakukan untuk mencapai suatu rencana. Sebagaimana peraturan mahkamah agung ri nomor 1 tahun 2014 tentang pedoman pemberian layanan hukum bagi masyarakat tidak mampu di pengadilan, pengadilan agama cikarang memberikan layanan hukum bagi masyarakat tidak mampu yang meliputi layanan pembebasan biaya perkara, sidang di luar gedung … Contoh himpunan fuzzy dalam kehidupan sehari hari yang contoh himpunan fuzzy dalam kehidupan bernegara contoh himpunan fuzzy dalam kehidupan ini contoh himpunan. Perkembangan fuzzy sangat pesat karena konsep logika fuzzy mudah dimengerti dan fleksibel. Dewasa ini fuzzy logic merupakan salah satu metode yang memiliki aplikasi luas … Contoh Surat Gugatan Cerai Dan Jawaban - Contoh Surat from 0.academia-photos.com Jadi dapat...
What Are The Signs Of Lung Cancer Returning : Lung Cancer Symptoms And Causes Mayo Clinic - Lung cancer, also known as lung carcinoma, is a malignant lung tumor characterized by uncontrolled cell growth in tissues of the lung. . Lung cancer is the most common cause of death due to cancer in both men and women throughout the world. Lung cancer typically doesn't cause signs and symptoms in its earliest stages. Lung cancer is the leading cause of cancer deaths in women and men both in the united states and throughout the. Treatment of lung cancer varies depending upon the type of cancer, how far that has developed and some other details of the patient for the types of lung cancer are categorised on the basis of the size of the cancerous cells. Cancer that begins in the lungs is called primary lung cancer. Lung cancer begins in the lungs and may spread to lymph nodes or other organs in the body, such as the brain. The general prognosis of lung cancer is poor because ...
What Does The Acronym Caution Stand For In Cancer : Nursing Health Assessment Mnemonics Tips Nurseslabs : What does ncpc stand for? . It means coalition against unnecessary thoroughfares in our neighborhoods. Watching out for these early signs is crucial, and oncologists use an acronym—caution—to help people spot the warning signs easily. Looking for online definition of caution or what caution stands for? While some symptoms did raise the cancer alarm, many went unnoticed. Possible cancer meaning as an acronym, abbreviation, shorthand or slang term vary from category to category. An acronym is a word or name formed from the initial components of a longer name or phrase, usually using individual initial letters, as in nato (north atlantic treaty organization) or eu (european union), but sometimes using syllables, as in benelux (belgium, netherlands and luxembourg). What does cancer stand for in computing? When removed, benign tumors usually don't grow back, where...
Komentar
Posting Komentar